El DOC fue creado con el propósito de compartir la experiencia de los Líderes de Opinión Clave, con el fin de aumentar el número de casos exitosos mediante el uso de ortodoncia invisible de alta calidad.

Maximiza tu planificación ortodóncica.

Sobre nosotros

¡Convertimos los desafíos de ortodoncia en éxitos predecibles! DOC es una plataforma de mentoría especializada que conecta a ortodoncistas con líderes de opinión clave para optimizar la planificación y ejecución de tratamientos con alineadores invisibles.

Ventajas que hacen que el diferencia

Orientación experta

Acceso a mentores expertos que te guían en cada paso crucial, desde el inicio del tratamiento hasta los casos más complejos.

Servicio personalizado

Abordaje adaptado a las necesidades específicas de cada caso, mejorando la predictibilidad y los resultados de los tratamientos.

Respuesta rápida y eficiente

Compromiso con tiempos de respuesta rápidos para evaluaciones y recomendaciones, asegurando el progreso continuo en los tratamientos.

Consultoría SOS

Soporte experto para resolver desafíos inesperados en casos en curso, ofreciendo análisis detallados y recomendaciones claras.

Consultoría Especializada

Optimice sus casos

Soluciones especializadas para optimizar los tratamientos de ortodoncia, garantizando precisión, previsibilidad y apoyo en cada etapa.

10 años de experiencia avalan nuestra excelencia.

0 +

Más de 500 tratamientos planificados y optimizados con precisión para garantizar la previsibilidad y el éxito clínico.

0 h

Prescripción remota y soporte especializado con respuesta rápida para no comprometer el avance de sus casos.

Casos reales, éxito comprobado!

Resultados que hablan por sí solos

Descubra cómo nuestro enfoque personalizado y nuestro apoyo experto convierten los tratamientos de ortodoncia en historias de éxito. La previsibilidad y eficiencia que ofrecemos se ven reflejadas en los resultados de nuestros clientes.

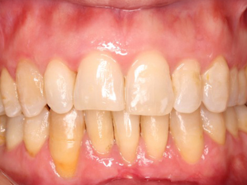
Transformación ortodóntica en 15 meses

En este caso, un paciente de 64 años fue tratado con alineadores invisibles durante 15 meses. El DOC desempeñó un papel esencial en la planificación y supervisión del caso, garantizando un progreso fluido y previsible. El tratamiento se centró en corregir el apiñamiento y mejorar la oclusión, proporcionando una sonrisa más equilibrada y funcional.

caso1 1
caso1 2
caso2 1
caso2 2

Solución eficiente para un caso complejo

Este paciente presentaba un apiñamiento severo, agravado por el tratamiento ortodóncico previo que incluía la extracción de un incisivo inferior. Con la orientación del DOC, fue posible desarrollar un plan de tratamiento preciso, asegurando una alineación armoniosa y una mordida funcional. El apoyo de expertos permite obtener resultados predecibles y satisfactorios.

Transformação ortodôntica em 15 meses

caso1 1
caso1 2

Antes e Depois

Neste caso, um paciente de 64 anos foi tratado com alinhadores invisíveis por 15 meses. O DOC desempenhou um papel essencial no planejamento e supervisão do caso, garantindo um progresso tranquilo e previsível. O tratamento se concentrou na correção do apinhamento e na melhora da oclusão, proporcionando um sorriso mais equilibrado e funcional.

Este paciente apresentava apinhamento severo, agravado por tratamento ortodôntico prévio que incluiu a extração de um incisivo inferior. Com a orientação do DOC, foi possível desenvolver um plano de tratamento preciso, garantindo um alinhamento harmonioso e uma mordida funcional. Suporte especializado permite resultados previsíveis e satisfatórios.

caso2 1
caso2 2

Antes e Depois

Solução eficiente para um caso complexo

Habla con nosotros!

Quieres mejorar tus resultados?

Su éxito comienza con una planificación precisa! Contacta con nosotros y descubre cómo podemos ayudarte con tu caso.

© A Line Digital Ortho Mentoring, LDA. Todos los derechos reservados.